Главная  |  Контакт  |  faq_header Помощь  |  News  | 

reg_plus Подать объявление    Автоматическое размещение объявлений
currencyВалюта
reg_bullРегистрация reg_bullВойти
trans
trans Объявления trans
Товары в магазинах Поиск автомобилей Поиск недвижимости Клуб деловых людей Тендеры Производители, Опт
trans

Прошедшим исправление прикуса на любой брекет-системе в подарок г. Москва

 2 RUB

Описание продукта

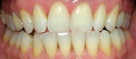
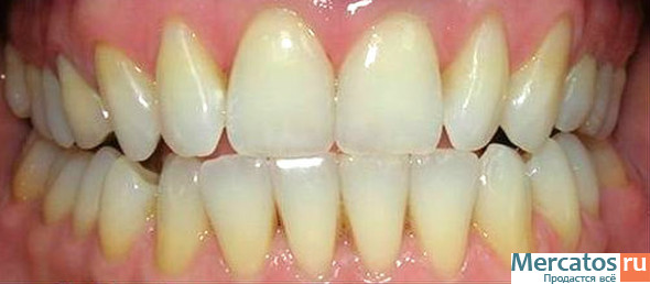
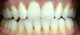
Стоматологи "Диал-Дент" понимают, что только одного выравнивания зубов может быть недостаточно для совершенной улыбки. Чтобы длительное лечение не принесло разочарование, надо подойти к решению проблем с зубами комплексно, ведь, если ровные зубы будут желтыми, они не будут приносить радость своему владельцу. Поэтому, пациентам "Диал-Дент", прошедшим ортодонтическое лечение с помощью любой брекет-системы, в подарок предлагается пройти отбеливание зубов ZOOM или лазерное отбеливание зубов. Отбеливание зубов значительно украшает улыбку. Белые зубы делают лицо моложе, придают уверенность при общении.

Отбеливание зубов проводит опытный гигиенист Семейного стоматологического центра "Диал-Дент" Смирнова Е.П.

Комплексный подход к исправлению прикуса в "Диал-Дент" позволяет добиться максимальных результатов по совершенствованию улыбок.
Запись по тел. +7 (499) 500 90 90

Индивидуальные ортопедические стельки Формтотикс
Индивидуальные ортопедические стельки Формтотикс  5,500 RUB
Портал о пластической хирургии и косметологии
Портал о пластической хирургии и косметологии  1,000 RUB
Акция Обертывание. 2 по цене 1.
Акция Обертывание. 2 по цене 1.  3,979 RUB
Сеанс массажа+Иглотерапия
Сеанс массажа+Иглотерапия  5,969 RUB
Сеанс иглорефлексотерапии
Сеанс иглорефлексотерапии  3,979 RUB
Компьютерная диагностика
Компьютерная диагностика  5,969 RUB
Ваше контактное лицо
Александр Сил***
Все товары продавца
Здесь Вы можете купить Прошедшим исправление прикуса на любой брекет-системе в подарок в г. Москва. Объявление продажи размещено в категории Предметы коррекции где Вы сможете найти похожие объявления. Показать похожие объявления по запросу купить Предметы коррекции бу в Москва


Контактная информация Форма контакта
Copyright © 2007-2016 Mercatos.net - деловой портал России.
X

Фотографии